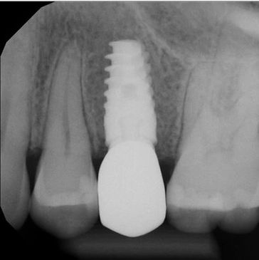
In our clinic, we use digital X-rays with the NOMAD portable unit and digital sensors to provide quick, high-quality images of your teeth. This technology minimizes radiation exposure and enhances diagnostic accuracy. The instant imaging allows for clear views and easy sharing, improving communication and efficiency in your dental care.

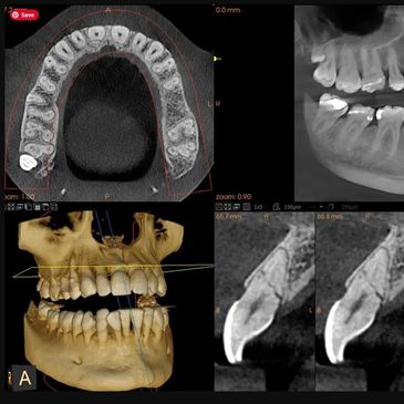
3D cone beam technology is an advanced imaging method that creates detailed three-dimensional images of your teeth and jaw. It captures high-quality images in a single scan, allowing us to see your teeth and jaw from different angles. This enhances diagnosis and treatment by providing clearer and more comprehensive views than traditional X-rays.

The 3D digital scanning Medit system used in our clinic captures precise, three-dimensional images of your teeth and gums. This technology allows for quick, accurate impressions without the discomfort of traditional methods. With its detailed scans, we can enhance treatment planning and design custom dental solutions tailored to your needs, ensuring a more efficient and comfortable experience.

We assess facial muscle activity using EMG to gauge the intensity of your muscle exertion. This information assists us in guiding your jaw into a more ideal and comfortable position.

We employ jaw tracking technology to provide an objective evaluation of your TMJ function and the extent of your mouth's opening. This technology also identifies any lateral jaw shifts or asymmetry.

By utilizing a sensor, we can accurately determine how your teeth align in your bite and measure the pressure exerted on each tooth in relation to the others. This information allows us to fine-tune and balance your bite for an
optimal position.
At Minneapolis Dentistry Company, we are dedicated to providing you with the best health solutions tailored to your needs. There are multiple different dental technologies, including those not listed, that we utilize, depending on each person's individual needs. This helps us diagnose and design a treatment plan that will help you achieve a stable, healthy mouth. Ready to get started with your smile treatment? Contact us today to begin!
Pa K Yang DDS PLLC Minneapolis Dentistry Company
2936 Aldrich Avenue South, Minneapolis MN 55408